A csípőízületi diszplázia örökletes betegség, ami úgynevezett küszöbértékkel öröklődik. A tartási körülmények (túletetés, nem megfelelő mozgatás), egy küszöbérték alatti kutyánál megnövelhetik az értéket ami így átbillen a küszöbön és realizálódik a rendellenesség. Két küszöbérték körüli szülő kölykeinél nagy valószínűséggel szintén átbukik az érték a küszöbön, bár látszólag egyik szülő sem diszpláziás.
A csípőízületi diszplázia leírása

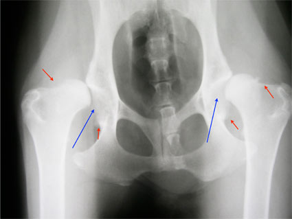
Csípőízületi diszplázia
A csípőízületi diszplázia lényege hogy a csípőízületet alkotó combcsontfej nem megfelelően illeszkedik a medencecsont ízületi vápájába, ami az ízület részleges (esetleg teljes) ficamodásával jár.
Az állandóan ficamodó ízületben egy idő után porckopások jönnek létre a ki-be mozduló combcsontfej porca, és a medence vápájának pereme között. Mindemellett steril ízületi gyulladás, egy idő után porcdegeneráció, porcfelrakódások, degeneratív ízületi elváltozások, összefoglalva: csípőízületi arthrosis jön létre.
Már az ízület részleges ficamodása, illetve az ebből eredő gyulladás is mozgászavarral járhat, de az igazi fájdalmat és sántaságot a porckopások és az arthrosis-ok megjelenése okozhatja.
A kutya fajtájától, érzékenységétől és a diszplázia mértékétől függően adott esetben jól tolerálhatja a betegséget és akár komolyabb tünetek nélkül is leélheti az életét. Érzékenyebb fajtáknál, különösen nagytestű kutyák esetén a betegség súlyos sántasághoz, mozgászavarokhoz vezethet.
Kialakulását tekintve a diszplázia alapvetően genetikailag öröklődik. Hajlamosítható tényezőként szerepelhet, a kutya gyors növekedése, táplálkozása, korai terhelése is.
A diszplázia tünetei már fél és egy éves kor körül kialakulhatnak, de későbbi életkorban is bármikor jelentkezhetnek. A csípődiszplázia kezelésében enyhébb esetben gyógyszeres kezelés, előrehaladottabb esetben műtéti megoldások játszanak szerepet.
Fontos kiemelni, hogy csak a klinikailag diszpláziás, sánta, illetve mozgászavarral közlekedő kutyák esetében indokolt diszplázia műtétet végezni.
A csípődiszplázia megelőzésében, illetve terjedésének megállításában fontos szerep jut a szűrővizsgálatoknak.
- Ekkor egyrészt kiszűrik a tenyésztési szempontból aggályos szülőket, így csökkentve a diszpláziával genetikailag terhelt utódok születését.
- Másrészt az előszűréseken a növekedésben lévő kutyák csípőjét vizsgálják, hogy még időben enyhíthetők legyenek a tünetek a helyes terhelés és táplálkozás, illetve táplálékkiegészítők segítségével.
Az ajánlott előszűrési időpont fél éves kor körül van, a végleges szűrés pedig (szűrőállomástól függően) egy és két éves kor közötti, illetve utáni időpontban határozható meg.
A csípődiszpláziára hajlamos fajták jelentős részénél könyökízületi diszplázia is előfordulhat, amire már a szűrővizsgálatnál figyelemmel kell lenni.
A csípőízületi diszplázia tünetei
A csípődiszplázia tünetei jellemzően már az ötödik hónaptól észrevehetők. A leggyakoribb jelek:
- Mozgás utáni fájdalom
- Kényelmetlenség
- A kutya járásában fellépő elváltozás, nehézkes járás
- A hátsó lábakban fellépő merevség
- Ugráskor a lábak nyúlugrásszerűen érnek földet
- Lépcsőmászásban jelentkező nehézség
- Bicegés, sántítás
- Az izomzat leépülése
- A kutya fekvő helyzetből csak nehézkesen, vagy képtelen felállni.
A csípőízületi diszplázia kezelése
Bármilyen diszplázia minősítést is kapott kedvencünk, sokat javít állapotán, amennyiben:
- Testsúlyát a fajtára jellemző ideális szinten tartjuk, a megfelelően átalakított diszpláziás táplálkozás, illetve kielégítő mozgásprogram segítségével.
Azonban fontos, hogy a kölyök mozgatása során kerüljük a túlterhelést, azaz ha elfárad, ne erőltessük a mozgást. Mindemellett a mozgásszegény életmód sem jó, mert a farizomzat, és a csípőízületek normális fejlődése igényli a megfelelő mozgást. - Nem szteroid típusú, gyulladás és fájdalomcsillapító hatású, természetes porckopásgátló anyagokban gazdag táplálékkiegészítőt adunk neki, mint például a K9 InuFlex®, vagy aK9 FullFlex™.
Enyhe diszpláziás tenyésztői minősítés esetén nem árt tudni, hogy ez nem számít kifejezetten rossznak. Ezzel még az adott fajtánál tenyésztésre is javasolt lehet a kutyánk és tünet nélkül leélheti az életét is.
Az időben észlelt, középsúlyos esetek nagy részénél a fiatal korban felfedezett betegség további súlyosbodása csökkenthető a különböző gyógyszeres, vagy táplálékkiegészítő kezeléssel, illetve a megfelelően átalakított táplálkozás és mozgásprogram segítségével.
A súlyosan diszpláziás eseteknél is léteznek különböző hagyományos (modern műtéti eljárás) illetve alternatív (arany golyó beültetés (GBI)) megoldások, melyek nagymértékben javítják kedvencünk állapotát.
A kutya helyes táplálásával, mozgatásával, megfelelő táplálékkiegészítővel a diszplázia kialakulásának esélye, illetve a már meglévő tünetek súlyosbodása nagy mértékben csökkenthető!
Forrás: diszplazia.hu
Porckopás gátló anyagokban, glükozaminoglikánban(GAG) és kondroitin-szulfátban gazdag táplálékkiegészítő.
A K9 FullFlex™ a benne található immunerősítő gyógygombákon (K9 Immunity™) kívül nagy mennyiségű és jó minőségű, kifejezetten az artikulációk (a kötőszövetek, a porcok és ízületek) regenerálására és egészségesen tartására szolgáló, természetes anyagokat tartalmaz.
Alkalmazási területek

K9 FullFlex
- A nagytestű, gyorsan növő kutyafajtáknál kölyökkortól a csontok, porcok, inak táplálására, védelmére, az általános mozgás-képesség javítására.
- Verseny-, és munkakutyáknál az ízületekre és kötőszövetekre ható fokozott fizikai igénybevétel hatásainak enyhítésére.
- Tenyésztőknek, a fajtajegyeket leginkább magukon viselő egyedek csontrendszerének (tartásának) egészséges fejlődéséért.
- Idősödő kutyáknál a kötőszövetek rugalmasságának és erejének megőrzésére, a természetes kopások késlelteté-sére, a kutyák mozgékonyságának megőrzésére.
- A kötőszövetek (csont, porc, ízület, stb.) sérülése, gyulladása, valamint a különböző ortopéd sebészeti beavatkozások kiegészítő kezelésére, a regenerációs időszak lerövidítésére és a fájdalom csökkentésére.
- A nem megfelelő tartási, illetve táplálási mód, a korosodás következtében kialakult, vagy a fajtára jellemző betegségek (arthritis, osteoarthritis, különböző típusú diszpláziák, stb.) megelőzésére, kezelésére, tüneteik enyhítésére.
A K9 FullFlex™ főbb összetevői (4000 mg-os rágótabletta)
|
250 mg
|
Segít megőrizni az ízületek, porcok, inak egészségét, jó hatásfokkal segíti a porcok regenerálódását, illetve megakadályozza a további károsodást, azzal, hogy karbantartja azokat, „kenést” biztosít számukra.
|
|
|
Kalcium karbonát
|
200 mg
|
A csontok és ízületek egészségéhez elengedhetetlenül szükséges kalcium pótlására használt vegyület. E mellet enyhíti a gyulladást.
|
|
200 mg
|
A kondroitin-szulfát kiváló vízmegkötő képessége miatt a porcszövet egyik fő alkotóeleme. Vízmegkötő képessége biztosítja a porcok mechanikus-elasztikus tulajdonságait.
|
|
|
(Beta 1,3-1,6 glükán tartalommal)
|
185 mg
|
Egy olyan gyógygomba koncentrátumokat tartalmazó immunerősítő összetevő, mely általános immunerősítő hatásai mellett gyorsítja az újjáépítési folyamatot, és védelemmel látja el a szervezetet az elhasználódás okozta porckopások megelőzése érdekében.
|
|
185 mg
|
Antioxidáns hatásának köszönhetően segíti a sejtek védelmét és támogatja az immunrendszert. Lassítja a sejtek öregedését, részt vesz a szervezet kötőszöveti rostjainak védelmében, a bőr ráncosodásának gátlásában, víztartalmának megőrzésében. A kor előrehaladtával termelődése csökken, külső pótlása javasolt.
|
|
|
Hidrolizált tojáshéj hártyából nyert fehérje (ESM)
|
100 mg
|
Ha valamelyik, akkor ez az egyik a K9 FullFlex™ legfontosabb hatóanyagai közül. A tojáshéj belső falán található vékony gumiszerű hártyából hidrolízissel állítják elő a jobb biológiai hozzáférhetőség érdekében. Ez a fehérje oldat a különleges tulajdonságai révén a termék egyik legfontosabb – az egészséges ízületekért felelős – alapanyaga. Többek közt a magas (ostyánként 100 mg) ESM tartalom emeli ki a K9 FullFlex™-et a hasonló termékek közül.
|
|
Kurkuma
|
90 mg
|
A kurkuma természetes gyulladáscsökkentő és fájdalomcsillapító hatása miatt kedvelt összetevője az ízületerősítő termékeknek, de antioxidáns tartalma és immunerősítő hatása sem elhanyagolható.
|
| Boswellia serrata kivonat |
70 mg
|
Egy természetes, NSAID (nem szteroid típusú gyulladáscsökkentő) fájdalomcsökkentő elegy. A morfiummal azonos receptorokra hat, ezáltal azonnali, hosszan tartó, és erős fájdalomcsillapító. És teljesen biztonságos!
|
|
Szarvasmarhából származó (tej) immun-protein koncentrátum
|
25 mg
|
|
|
Piper nigrum
|
10 mg
|
Segíthet csökkenteni az ízületi gyulladást és az izmok merevségét.
|
Valamint
Kalcium propionát, lenmag, glicerin, lecitin, nyílgyökér, rozmaring kivonat, növényi olajok, ízanyag.
Tojást és tejet tartalmaz!
